How Can Stomach Cancer Be Cured

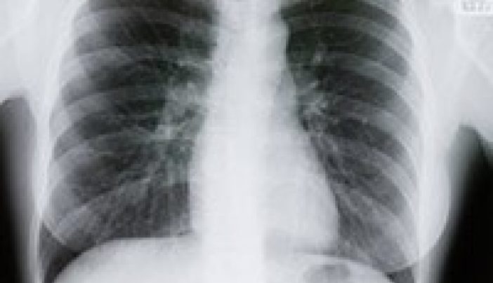
Can You See Lung Cancer In Xray

Lung Cancer In Pictures What Does It Look Like

can you see lung cancer in xray is important information accompanied by photo and HD pictures sourced from all websites in the world. Download this image for free in High-Definition resolution the choice "download button" below. If you do not find the exact resolution you are looking for, then go for a native or higher resolution.

Don't forget to bookmark can you see lung cancer in xray using Ctrl + D (PC) or Command + D (macos). If you are using mobile phone, you could also use menu drawer from browser. Whether it's Windows, Mac, iOs or Android, you will be able to download the images using download button.

Chest X Ray Diagnosing Lung Cancer Cancer Research Uk

Chest X Rays Miss Nearly Quarter Of Lung Cancers Review Finds

Chest X Ray For Diagnosis Of Lung Cancer

Lung Cancer Pictures X Rays Of Tumors Screening Symptoms

X Rays Failing To Spot Lung Cancers In A Quarter Of Patients

Medicare Plans To Pay For Lung Cancer Screening

What To Know About Lung Cancer Screening Treatment And

Canada Startup S Portable X Ray May Replace Lung Cancer Ct Scans

Lung Cancer X Rays Fail To Detect Almost A Quarter Of Cases

Lung Cancer Wikipedia

Asbestos Lung Cancer Discover The Causes Diagnosis Treatment


Komentar